老人做 All-on-4 風險高嗎?全口重建手術安全關鍵解析

share

中年畫家梵谷與弟弟西奧到法夏爾口腔智慧醫療團隊諮詢治療方案,滿口牙齒幾乎掉光的他,初步確認採用 All-on-4 全口重建療程來恢復口腔功能。
在他們離開後,18 世紀「牙科之父」法夏爾好奇向醫師提問:「All-on-4 全口重建術式也適合老年人嗎?」一問之下才知道,All-on-4 全口重建許多特色都對年長者特別友善,讓我們一起來了解!

Q1. 老人能做 All-on-4 全口重建嗎?

All-on-4 全口重建並沒有年齡限制,不過在諮詢時牙醫師會仍會以患者身體狀況、疾病史、口腔狀況、齒槽骨等綜合評估,確保安全無虞才會進行手術。此外,老人做 All-on-4 全口重建還有以下值得一提的好處:

1. 手術完成僅需一日

您沒看錯, All-on-4 全口重建只需一日就能完成手術,可以在手術當天或是在手術後幾天內裝上臨時假牙!治療效率高的特色,讓老人能迅速完成手術,減輕身體負擔。

2. 減少手術次數

相較於傳統全口植牙需要多顆植體,All-on-4 只需要四根植體,減少了手術的次數,降低了手術的複雜性和風險

3. 咬合能力佳且穩定性高

All-on-4 全口重建的咬合能力宛如真牙,讓老人得以享受更佳的生活品質,擺脫活動假牙需使用假牙黏著劑、動不動假牙脫落的困擾。

4. 不需/ 少量補骨

比起全口植牙需大量補骨,All-on-4 全口重建通常不需或僅需少量補骨,讓療程更快速,同時也大幅減輕老人生、心理負擔。

法夏爾口腔智慧醫療團隊曾執行過無數 All-on-4 全口重建成功案例,在北北基獲得在地民眾一致好口碑,更有患者在術後自願現身說法,為我們站台推薦!其中,All-on-4 全口重建成功案例—新北市早餐界聞人盤先生便大為讚嘆 All-on-4 全口重建後帶來的舒適體驗,甚至後來當起介紹人,把盤太太一起帶來治療,最後已屆退休的兩人獲得更佳的生活品質,甚至家庭關係變得更和諧、更甜蜜!讓我們一起聽聽他們怎麼說!

Q2. All-on-4 全口重建適合誰?

看完前面提及的中年梵谷,或法夏爾詢問的老年人,您應該已明白是否適合 All-on-4 全口重建,主要憑藉牙醫師針對個案身體狀況、病史、骨質等各方條件綜合判斷,年齡只是其中一項評估重點。此外,更需注意的是,All-on-4 全口重建是一次性完成整顎(上/ 下顎),所以大範圍缺牙或近乎無牙的患者才適合選擇此方案。

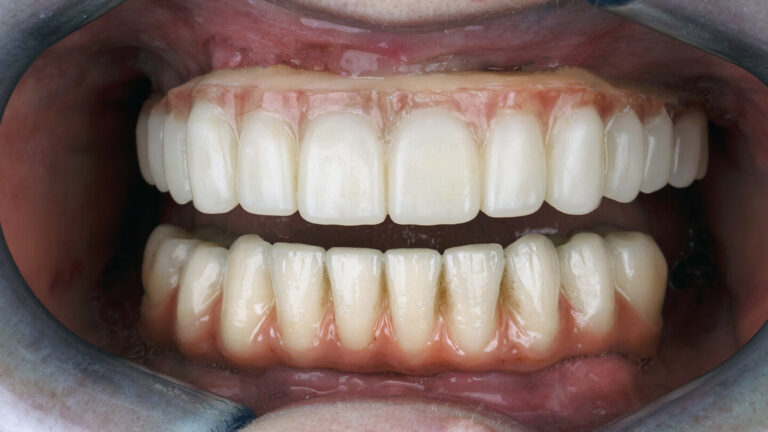
teeth allon4 02
All-on-4 全口重建可一次性完成整顎(上/ 下顎),適合大範圍缺牙及全口無牙患者。

Q3. All-on-4 全口重建手術安全嗎?

任何醫療行為都伴隨風險,且 All-on-4 全口重建屬於難度較高的手術,需特別留意避開下顎神經及血管,非常仰賴牙醫師的經驗與技術,故建議您務必審慎評估值得信任的醫療團隊來執行手術,以確保手術安全性。
儘管如此,根據諾保科 (NOBEL) 原廠統計,目前全球已有超過 15 萬人完成 All-on-4 全口重建,五年來植牙成功率高達 93%,假牙成功率將近 99%,足以說明 All-on-4 全口重建已是相當成熟安全的術式。

about job2
法夏爾口腔智慧醫療團隊擁有專業團隊與設備,成功完成的 All-on-4 全口重建案例不計其數。

Q4. 老人麻醉風險高嗎?

隨著年齡增長,老人手術風險的確會變高,尤其麻醉過程中需特別注意心臟、肺部功能變化,如有慢性病,更需要仔細評估各項數值在良好範圍內,才能安全進行手術。但您也不需太過擔心,牙科的舒眠麻醉風險其實相對較低,有了牙醫師的術前評估、加上麻醉醫師的手術過程中全程監控,都能最大程度降低風險,確保手術成功。

延伸閱讀:舒眠植牙麻醉安全嗎?適用情境、風險、費用一次解答!

舒眠植牙風險
麻醉醫師在手術過程中透過儀器全程監控患者身體指標。

Q5. 全口重建專業設備?

除了醫療專業團隊以外,全口重建也需要專業設備輔助治療。以下列舉重要項目供您參考:

1. 3Shape數位口內掃描機

利用3D高速掃描拍照取得口腔內資料,以建立牙齒模型,不僅能幫助牙醫師診斷和規劃治療方案,同時也是後續假牙設計製作不可或缺的重要設備。

view doctor 05 3shape

2. 3D斷層全口/ 側顱掃描機

拍攝口腔及顱內3D電腦斷層掃描影像,以提供牙醫師重要資訊如齒槽骨形狀、神經、鼻竇、血管位置等,提高診斷準確性與手術成功率。

image xtray 1

3. 3D數位植牙手術導板/ 3D植牙導航系統

當進行數位植牙時,利用3D數位植牙手術導板定位植牙位置、3D植牙導航系統模擬植牙最佳路線,精準避開血管及神經,並可縮小傷口。

kn implant p3 04

4. 多功能高倍顯微鏡

顯微鏡提供高倍視野,讓牙醫師在進行鼻竇相關的植牙手術時更精細的操作。

about device cari zeiss

5. 假牙製作設備

CAD/CAM系統數位技術製作假牙,能在電腦3D模擬假牙成型的樣子,再將資料數出至研磨車機、比色儀、燒結爐等,在數小時內即可完成假牙製作。

view xray check1

Q6. 法夏爾如何打造專業醫療環境?

最後,再讓我們一起聊聊醫療環境。從患者踏進牙醫診所大門起,就開始了他們的醫療旅程,包含親切的接待人員、舒適的等候區、令人放鬆的音樂、潔淨明亮的環境、專業明確的流程與設備等,每個環節都與一次完美的醫療體驗息息相關。的確,團隊專業度直接影響醫療品質,然而環境、氛圍等也能幫助患者卸下緊張不安的心情,並提升患者信任感,使手術或療程順利進行。

法夏爾口腔智慧醫療團隊的空間規劃,採取簡約明亮基調,配合柔和音樂,讓人走進大廳就不自覺地感到身心愉快放鬆。針對 All-on-4 全口重建療程,設備環境更是高標準要求,每日安排人員頻繁消毒、查驗設備,細心管理每個小細節。因應患者對於醫療和隱私的不同需求,我們也陸續安排設計 VIP 候診室、個別諮詢室、獨立手術室等,讓您能選擇更高規格、完全不受打擾的醫療環境。

從25年前起家的光華、到日盛牙醫診所的光芒,最後蛻變為今日法夏爾的光輝,秉持「生命相連、良善科學」的精神,如今的我們承繼過去、開創未來,在不同層面打造品牌豐富的樣貌。在我們的努力下,法夏爾口腔智慧醫療團隊旗下三家分店各具特色,成為與在地民眾生活緊密連結的牙醫夥伴。今年,我們更傾注資源重塑基隆新橫濱店軟硬體設施,以全新風貌再出發!千言萬語不如眼見為憑,馬上一起來鑑賞其中別具一格的設計巧思吧!

officeal keelung 02wating
走進法夏爾基隆新橫濱店,首先映入眼簾的是如同山稜綿延不絕的流線空間。基隆靠山傍海,我們以自然元素為發想,設計寬廣開展的視覺效果。
officeal keelung 04shoes
當來到法夏爾,您可在玄關處換上我們準備的室內拖鞋,舒適地入內候診。
officeal keelung 06
全新頂級診療設備,不鏽鋼與不透明玻璃打造專業醫療工作櫃,兼具美觀與實用性。
officeal keelung 08
上圖中央圓形空間為X光室,設置3D斷層全口/側顱環形數位X光機、數位根尖X光機以獲得您的口腔資訊。
officeal keelung 05vip
officeal keelung 07

▲ 若您需要更客製化的醫療需求,或有更高的隱私考量,我們也配有VIP 候診區、獨立手術室與恢復室,因應不同來賓給予更貼心多元的選擇。
還不過癮?參觀更多法夏爾分店 >

學習完18 世紀All-on-4 全口重建的知識,這次法夏爾對於團隊打造品牌的用心感到嘆為觀止,「坦白說,過去從來沒想過醫療環境對患者的影響!」對他來說,現代牙科進步的不只有技術,周邊設備環境的提升,及人文關懷的經營思維,更是一種讓醫療更有溫度的重要突破呀!

誰是法夏爾?

kn all p

牙醫師法夏爾(Pierre Fauchard)
活躍於18世紀法國,

他首度把牙科從外科醫學獨立出來,

奠定牙科醫學專業,被稱為「現代牙科之父」。

「法夏爾來看牙」知識分享中,「現代牙科之父」法夏爾,將與法夏爾口腔智慧醫療團隊跨時代相遇,共同解決古今中外名人的牙齒疑難雜症,邀你一起參與,見證牙醫科學的奇蹟!

法夏爾口腔智慧醫療團隊

法夏爾口腔智慧醫療團隊致力以「良善、正直」的態度建議患者適合的醫療方案,提供更快速、痛感輕的新式治療。我們以先進數位設備輔助,確保診斷及手術精準度;精良的手術環境及監控設備,嚴格把關手術風險;植體選用國內外深受信賴的領導品牌,保障您的植牙治療成果。

如您有任何牙齒問題,讓我們為您解答!

*提醒:任何手術及療程都有醫療風險存在,若患者有特殊病史、如高血壓、嚴重心血管疾病、嚴重糖尿病、免疫系統不全、癌症等,或婦女計劃懷孕,經醫師評估後並不適合此術式,請勿輕易嘗試。

經過專業牙科醫師診治後,術式會因為每個人的身體及牙齒狀況不同,治療效果也會因此而異。術後必須定期回診檢查,徹底清潔與保養,若有任何醫療上的問題,請隨時與診所連絡。